Press Release: Viz.ai Closes 2025 with Record Scale and Patient Impact Achieving Profitability in Its Healthcare Business while Accelerating Life Sciences Growth

Intracerebral hemorrhage (ICH) scan

Viz Hemorrhage

The first and only comprehensive AI solution for all your brain hemorrhage needs

Picture collage of a doctor discussing diagnosis with a patient, and a patient in a CT scan machine
ich-inset

Automated notifications

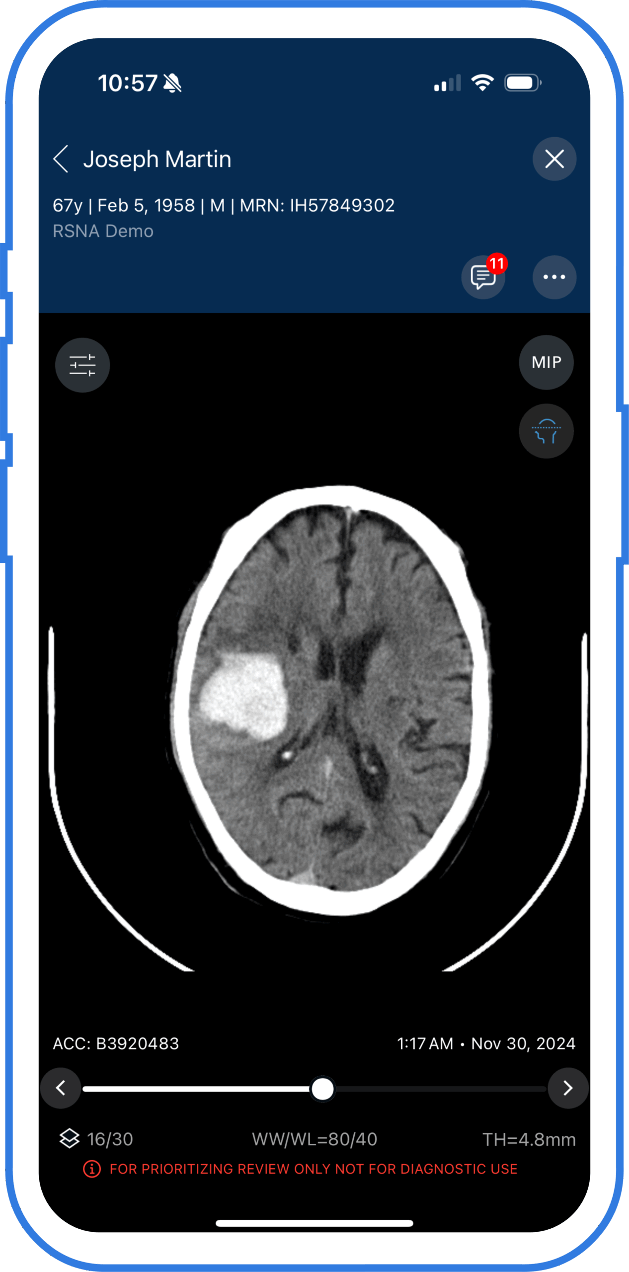
Automatic AI detection of suspected acute and chronic hemorrhage down to 1 ml.

Real-time ICH detection and quantification

Consistent, accurate measurements available on desktop and mobile device for decision making on-the-go.

Empowering Precision in Intracerebral Hemorrhage Detection

Viz Hemorrhage harnesses the power of AI to provide precise and reliable detection and quantification of intracerebral hemorrhages. Accurate volume measurements of brain bleeds are crucial for assessing the severity of cases, monitoring progression, and planning treatment strategies.

One solution for all your brain hemorrhage needs.

Intracerebral hemorrhage

Detects suspected acute intracerebral hemorrhage (ICH)

Intracerebral hemorrhage Plus

Quantifies hyperdensities, midline shift, and lateral ventricles

Subdural Hematoma

Identifies suspected acute and chronic subdural hematomas (SDH)

Viz Subdural Plus

Measures hypodense collections in the subdural space, including volume and thickness

Clinical study

Optimizing Intracerebral Hemorrhage Management and Interhospital Transfer With Viz ICH Plus AI Technology

The study highlights how Viz ICH and Viz ICH Plus promptly identified a right parieto-occipital hematoma in a patient presenting with a headache, resulting in a marked reduction in interhospital transfer (IHT) time.

Hear what your peers are saying